Вторым по распространенности онкологическим заболеванием у женщин является рак шейки матки. С этой патологией уже пришлось встретиться множество женщин по всему миру. Чаще недуг диагностируется у женщин, перешагнувших черту 40-летия, девушки моложе 25-ти лет с болезнью сталкиваются не так часто. Своевременная диагностика рака шейки матки на ранних стадиях позволяет провести эффективное лечение, которое может дать положительный результат.
Определение рака по симптомам
Обнаружить рак шейки матки на начальных этапах практически невозможно. Опасность патологии в том, что она долгое время протекает бессимптомно. При появлении первых признаках недуга уже можно говорить, что болезнь перешла в активную стадию. Проводимое лечение рака шейки матки положительный результат, если опухоль шейки матки диагностирована на начальных этапах.
Можно выделить общие признаки рака шейки матки, позволяющие диагностировать его на ранних стадиях.
- Слабость, развитие анемии, повышенная и постоянная утомляемость – первые признаки того, что в организме развивается недуг. Эти симптомы могут сопровождаться беспричинным повышением температуры тела. Она повышается до 37-38 градусов и держится на этом уровне. Совокупность этих симптомов должны стать причиной похода к врачу.
- Выделения из влагалища, появляющиеся в период между менструациями. Они могут быть белыми, кровянистыми, иметь зеленый или желтый оттенок. Они могут иметь неприятный запах или быть без него. Обильность выделений отличается в каждом случае. Выделения могут появляться после интимной близости, физических нагрузок, дефекации. На поздних стадиях развития болезни у выделений появляется неприятный, резкий запах. Это происходит из-за распада тканей опухоли.
- При развитии болезни появляются болевые ощущения, которые локализируются в области таза, крестца, прямой кишки. Также дискомфорт может быть в животе, области поясницы. Некоторые женщины отмечают, что болевые ощущения появляются в районе левого бедра. Специалисты обращают внимание, что постоянные, некупируемые болевые приступы – один из основных признаков недуга.
Женщина может самостоятельно заметить все эти признаки, если внимательно относится к своему здоровью. Игнорирование тревожных симптомов усугубит ситуацию. Разрастающаяся опухоль становится причиной нарушения работы кишечника, мочевого пузыря.
Врачи подчеркивают важность ранней диагностики рака шейки матки, так как это значительно увеличивает шансы на успешное лечение. Основными методами диагностики являются Пап-тест и тест на вирус папилломы человека (ВПЧ). Пап-тест позволяет выявить аномальные клетки, которые могут привести к раку, в то время как тест на ВПЧ определяет наличие высокоонкогенных типов вируса, способствующих развитию заболевания.
Кроме того, для более точной оценки состояния шейки матки может использоваться колпоскопия, которая позволяет визуально осмотреть шейку матки с помощью специального прибора. Врачи также рекомендуют регулярные обследования, особенно для женщин в группе риска. Своевременное обращение к специалистам и выполнение всех необходимых анализов играют ключевую роль в профилактике и раннем выявлении рака шейки матки.
https://youtube.com/watch?v=mcPEfhLlLXI
От чего появляется рак
Рак шейки матки является очень распространенным онкологическим заболеванием. Но, несмотря на это недуг до сих пор не остается полностью изученным. Специалисты не могут однозначно ответить, что способствует тому, что появляется злокачественное новообразование. Из-за этого возникают трудности в профилактической работе и выявлении недуга на ранней стадии.
Специалисты утверждают, что наличие вируса папилломы человека в организме женщины, значительно повышает риск развития болезни. После проведенных исследований вирус был выявлен у 57% женщин, столкнувшихся с этой патологией.
https://youtube.com/watch?v=WAXHwrYPjLM
Есть еще ряд факторов, повышающих риск развития заболевания:
- беспорядочная половая жизнь;
- низкий социальный и экономический уровень жизни женщины;
- ранняя беременность;
- первые роды до 16 лет;
- травмы шейки матки;
- герпес наружных половых органов;
- длительный прием гормональных контрацептивов;
- курение.
Многослойный эпителий выстилает шейку матки изнутри, когда вирус попадает в организм женщины, он становится причиной изменения строения клеток внутреннего маточного слоя. Клетки эпителия постепенно проходят этап малигнизации – становясь злокачественными.
О точном диагнозе может говорить специалист после прохождения женщиной комплексного обследования, сдачи необходимых анализов. Если ршм выявлен на начальной стадии, есть высокие шансы остановить развитие болезни, добиться выздоровления пациентки.
Лечение рака шейки матки сегодня возможно. Специалисты используют современные эффективные лечебные методы для устранения недуга.
Как определить рак матки
Ранняя диагностика рака шейки матки осложняется тем, что болезнь может протекать скрыто, не давая никаких тревожных симптомов. О развитии болезни может сказать специалист во время осмотра и после проведения цитологического исследования. Обнаружить онкологию возможно, ведь процесс перерождения эпителиальной ткани в предраковое состояние может занимать до от 2 до 10 лет. В течение этого периода женщина посещает гинеколога, проходя ежегодные профилактические осмотры.
Специалист должен назначать обследования при раке матки, которые подтвердят или опровергнут диагноз. Они проводятся комплексно, по тем анализам, которые сдала женщина, специалист может обнаружить предраковые изменения.
Комплекс диагностических мер необходим, чтобы врач имел возможность точно знать о стадии развития недуга, разработать индивидуальный план терапии для женщины.
Методы диагностики и анализы при раке шейки матки вызывают множество обсуждений среди пациентов и медицинских специалистов. Многие женщины отмечают важность регулярных обследований, таких как Пап-тест и HPV-тест, которые помогают выявить предраковые изменения на ранних стадиях. В то же время, некоторые пациенты выражают беспокойство по поводу болезненности процедур и возможных ложноположительных результатов. Врачи подчеркивают, что ранняя диагностика значительно увеличивает шансы на успешное лечение, и рекомендуют не пренебрегать профилактическими осмотрами. Также обсуждаются новые технологии, такие как жидкостная цитология, которые обещают более точные результаты. В целом, общественное мнение о методах диагностики разнообразно, но большинство согласны с тем, что регулярные проверки жизненно важны для здоровья.
https://youtube.com/watch?v=C273pZ3P4og
Визуальный осмотр
При гинекологическом осмотре специалист использует гинекологическое зеркало. Визуально он может увидеть, что у слизистой изменился окрас, увидеть наличие изъявлений, разрастаний.
Гинеколог может обнаружить патологию на начальном этапе развития, это повышает результативность назначенной терапии.
Инвазивная форма рака шейки матки может быть диагностирована во время гинекологического осмотра. Специалисты также выявляют во время осмотра с зеркалом эндофитный рак шейки матки. В этом случае наблюдается уплотнение, увеличение шейки, есть изъявления наружного шеечного зева.
В процессе осмотра врач может увидеть серые некротические участки с красными бугристыми новообразованиями на шейке матки – это свидетельствует об экзофитной форме развития болезни.
Гинекологический осмотр – это основной метод диагностики рака на ранних стадиях, позволяющий остановить и устранить заболевание.
Скрининг
Скрининг – это анализ, проводимый во время гинекологического осмотра. Специалист берет мазок, отправляет его в лабораторию для прохождения исследования материала под микроскопом.
Мазок на онкологию позволяет определить наличие или отсутствие в полученном материале аномальных клеток. Также в процессе исследования можно определить внешний вид клеточных структур. Чаще делают скрининг в середине месячного цикла – это наиболее благоприятное время для проведения исследования. За сутки до взятия анализов женщине нельзя использовать лубрикатные, спермицидные контрацептивы и вагинальные свечи. Они значительно усложнят исследование полученного биоматериала.
Кольпоскопия
Диагностика рака матки может проводиться с использованием кольпоскопа – специализированного прибора. Этот диагностический метод позволяет получить точную информацию, он полностью безопасен для женщины. Кольпоскопия проводиться для уточнения диагноза при подозрении ршм. Она проводиться после окончания менструации до момента наступления овуляции.
Кольпоскопия не имеет неприятных последствий. Она может быть отменена в таких случаях:
- в течение 2-х месяцев после родов;
- в течение 1 месяца после проведения искусственного прерывания беременности;
- в течение 2-3 месяцев после операционного вмешательства, проводимого на тканях шейки матки;
- во время менструации, кровотечений другого характера;
- если есть обширное воспаление, которое сопровождается гнойными выделениями.
Если этих противопоказаний нет, специалист проводит кольпоскопию.
Гистероскопия
Чтобы исследовать цервикальный канал специалист может назначить гистероскопию. Процедура проводится в условиях амбулатории, применяется анестезирование. Гистероскоп, представляющий собой фиброоптический зонд, вводится в шейку матки, и специалист имеет возможность осмотреть ее, провести все манипуляции.
Биопсия и ее виды
Биопсия позволяет провести детальное исследование фрагмента ткани, взятого у женщины на анализ.
Биоматериал может быть взят несколькими способами.
- Кольпоскопическая биопсия – она проводится во время планового осмотра у гинеколога. В шейку матки вводится кольпоскоп, с помощью манипулятора специалист отделяет фрагмент ткани, который и будет исследоваться. Процедура безболезненна. Длится около 30 секунд.
- Клиновидная биопсия – процедура может отличаться в зависимости от техники проведения:
- петлевая биопсия – травматичный метод, который может стать причиной образования рубцов на стенах шейки матки. В процессе взятия биоматериала врач вводит манипулятор, имеющий петлевидную форму, пропуская через него разряд тока. Это позволяет отслоить фрагмент патологической ткани;
- криоконизация – метод похож на петлевидную биопсию, но вместо тока специалист использует жидкий азот. Это позволяет заморозить и отделить фрагмент ткани шейки матки;
- радиоволновая биопсия – специалист используется радиоволновой нож, позволяющий отделить фрагмент ткани.
- Кюретажная биопсия предполагает соскребание кюреткой (гинекологическим инструментом) небольшого фрагмента ткани с шейки матки.
Результаты биопсии позволяют подтвердить или опровергнуть наличие онкологического заболевания.
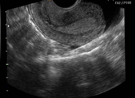
УЗИ
Ультразвуковое исследование, проводимое при подозрении на рак шейки матки, позволяет увидеть специалисту на мониторе, что матка приняла бочкообразную форму, видно, что региональные лимфоузлы увеличены в размерах. На узи также виден неровный контур шейки матки.
По узи врач смотрит на состояние шейки матки, проходимость цервикального канала, сравнивает полученные результаты с имеющимися показателями нормы. Диагностическое исследование может быть выполнено 3-мя способами:
- через прямую кишку (трансректально) – предварительно за 6 часов проводиться очистительная клизма;
- через стенку живота (трансабдоминально) – пациентка выпивает за 1 час до исследования 1 л воды, также сутки соблюдается бесшлаковая диета;
- через влагалище (трансвагинально) – специальной подготовки исследование не требует.
Если во время исследования обнаруживается отклонение от нормы, специалист может назначить дополнительные диагностические методы.
Цистоскопия и ректоскопия
Злокачественное новообразование, которое не поддается операции, нуждается в дополнительном исследовании. Специалист проводит цистокоспию, чтобы видеть, насколько распространилась опухоль и присутствует ли прорастание в мочевой пузырь.
Диагностический метод дает возможность специалисту выбрать метод терапии. Цистоскопия в обязательном порядке проводиться после проведения предоперационной лучевой терапии. Ректоскопия проводится, чтобы увидеть, насколько сильно увеличилась опухоль и как сильно она поразила прямую кишку.
Как называется анализ на рак шейки матки
Тест Папаниколау на сегодняшний день – всемирно признанный анализ, позволяющий диагностировать рак шейки матки на ранних стадиях. Специалист во время осмотра берет биоматериал со слизистой шейки матки. Для этого используется щетка Валлаха или специальный шпатель. Полученный биоматериал для дальнейшего исследования транспортируется в лабораторию. Для этого его помещают в специальный контейнер.
В лаборатории полученный биоматериал рассматривается под микроскоп после того, как окрашивается специальными красителями. В процессе исследования специалист определяет, есть или нет в полученном биологическом материале аномальные клетки, а также с точностью укажет на наличие заболевания. С помощью этого теста рак шейки матки диагностируется на ранних стадиях, когда он поддается лечению.
Специалисты рекомендуют регулярно делать такой тест женщинам, которые достигли 21 года.
Чтобы результат был достоверным женщина должна подготовиться, обязательно сообщить о принимаемых гормональных препаратах, КОКах, если они есть. Следует выполнить еще ряд рекомендаций:
- за 48 часов до исследования запрещен вагинальный половой контакт;
- в течение этого периода нельзя ставить вагинальные свечи, спринцеваться, использовать тампоны, любимые лекарственные средства, которые следует вводить во влагалище нельзя использовать;
- если у женщины обнаружен цервит, то перед сдачей анализа его следует вылечить.
Если по результатам проводимого исследования были обнаружены аномальные клетки, женщине дополнительно назначается кольпоскопия.
Своевременная диагностика предракового состояния позволяет вовремя остановить развитие болезни, полностью устранив ее консервативными методами лечения.
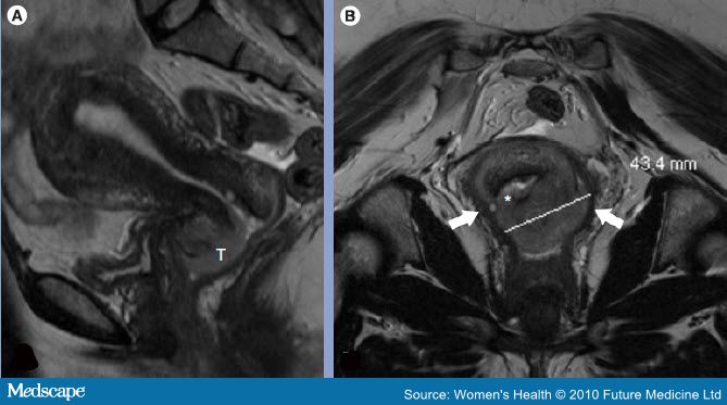
КТ и МРТ
Определение рака шейки матки возможно при использовании дополнительных методах исследования. Специалисты чаще назначают МРТ, результаты этого исследования четко показывают, насколько распространен онкологический процесс. Также оценивается состояние соседних органов. Благодаря этому врач назначает необходимое лечение.
У КТ есть недостаток – она показывает примерно одинаковую плотность органов малого таза. Это может стать причиной того, что раковое новообразование может быть названо жировой тканью. Если это происходит, то специалист и пациентка теряют время, необходимое для лечения патологии.
Анализы на онкомаркеры
Онкомаркер – это специальное вещество в крови женщины, которое может указать на наличие развивающегося онкологического заболевания. При раке шейки матки повышен онкомаркер SCCA – антиген плоскоклеточной карциномы. Его высокий уровень указывает на запущенную стадию патологии. В таком случае болезнь тяжело будет поддаваться терапии. В процессе лечения специалисту постоянно необходимо контролировать показатели онмаркера. Если наблюдается его повышения после первого курса проведенной терапии, то можно сделать вывод, что патология рецидивирует.
Сдача онокмаркера не требует специально подготовки. Единственное, что должна знать женщина анализ надо сдать натощак. Последний приме пищи должен быть за 8 часов до сдачи онкомаркера. Женщина должна предупредить врача о препаратах, которые принимает. По возможности нужно за неделю за сдачу онкомаркера отказаться от приема лекарственных средств. Анализ не сдается, если пациентка страдает рядом кожных заболеваний. Сначала нужно устранить эти болезни, затем сдавать анализ на онкомаркер.
Дополнительно женщине нужно сдать еще ряд анализов на другие онкомаркеры:
- раковоэмбриональный антиген (РЭФ);
- специфический тканей полипептид.
Совокупность результатов анализа позволяет специалисту оценить состояние пациентки и подобрать правильную терапию, которая будет давать положительный результат.
Рак шейки матки – распространенная серьезная патология, которая способна разрушить жизнь и здоровье женщины. Только внимательное отношение к себе, регулярные осмотры и прохождение необходимых диагностических методов могут помочь уберечься от патологии или остановить ее в самом начале.
Вопрос-ответ
Какие анализы покажут рак шейки матки?
Какие анализы необходимы для подтверждения диагноза? Из первичных обследований — гинекологический осмотр, взятие мазков на цитологию, ПАП-тест, это тот же анализ на онкоцитологию и УЗИ малого таза, которое позволит оценить состояние матки, придатков, наличие или отсутствие выпота в брюшной полости.
Основной метод диагностики рака шейки матки?
Кольпоскопия – основной диагностический метод. При необходимости его дополняют манипуляциями (биопсией, цитологией мазков, обработкой шейки уксусной кислотой для обнаружения плоских кондилом, выскабливанием цервикального (шеечного) канала и пр.).
Достоверным методом диагностики рака шейки матки является?
Наиболее простой, но достоверный метод диагностики рака шейки матки – кольпоскопия. Это современный и высокоинформативный способ оценки состояния эндометрия. С помощью кольпоскопа можно выявить перерождение клеток, дисплазию, оценить структуру патологического эпителия.
Как называется анализ на рак шейки матки?
Мазок на онкоцитологию шейки матки, также известный как Пап-тест или цитологический мазок, — это медицинское обследование, предназначенное для выявления аномальных клеток на шейке матки, которые могут указывать на предраковые состояния или рак шейки матки.
Советы
СОВЕТ №1
Регулярно проходите гинекологические осмотры. Раннее выявление рака шейки матки возможно благодаря регулярным обследованиям, включая Пап-тесты и HPV-тесты. Это поможет обнаружить предраковые изменения на ранних стадиях.
СОВЕТ №2
Обратите внимание на симптомы. Если вы заметили необычные изменения, такие как кровотечения между менструациями, боли в области таза или необычные выделения, не откладывайте визит к врачу. Эти симптомы могут быть сигналом о проблемах со здоровьем.
СОВЕТ №3
Изучите свои факторы риска. Знайте, какие факторы могут увеличить вероятность развития рака шейки матки, такие как наличие вируса папилломы человека (HPV), курение и ослабленная иммунная система. Это поможет вам более осознанно подходить к своему здоровью.
СОВЕТ №4
Обсуждайте результаты анализов с врачом. Не стесняйтесь задавать вопросы о результатах ваших анализов и диагностических процедур. Понимание вашего состояния и доступных вариантов лечения поможет вам принимать более информированные решения о своем здоровье.









